La curiosité n'est pas un goût pour ce qui est bon ou ce qui est beau, mais pour ce qui est rare, unique, que les autres n'ont point ; ce n'est pas un amusement mais une passion.
François De La Rochefoucaul
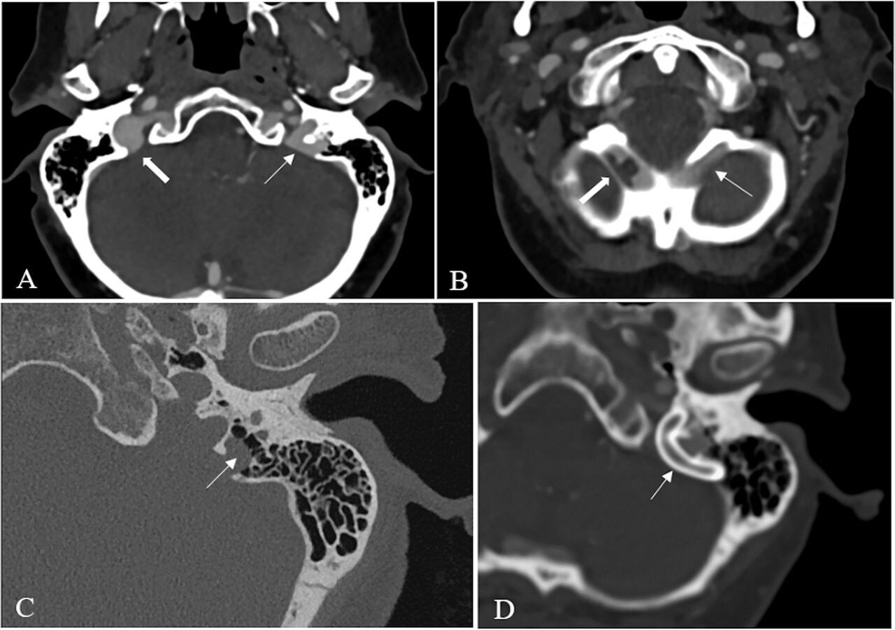
Contexte : Cette étude examine une cause rare d'acouphènes pulsatiles liés à une duplication déhiscente du bulbe jugulaire associée à un sinus occipital oblique dominant non sténosé. Nous rapportons une série de patients traités et décrivons une nouvelle caractéristique radiologique : le « signe du cœur en carte à jouer ».
Méthodes : Dans cette étude rétrospective monocentrique, quatre patients présentant des acouphènes veineux pulsatiles dus à cinq duplications déhiscentes du bulbe jugulaire associées à un sinus occipital oblique dominant non sténosé ont été inclus entre janvier 2023 et septembre 2024. L'évaluation clinique comprenait l'apparition des symptômes, l'indice de masse corporelle et le score Tinnitus Handicap Inventory. Des tomodensitométries osseuses temporales à haute résolution et une imagerie veineuse cérébrale ont été utilisées pour identifier les anomalies anatomiques. Les patients présentant un impact clinique significatif ont bénéficié d'une pose de stent endovasculaire. Les résultats ont été évalués lors du suivi.
Résultats : L'âge moyen des patients était de 41,9 ans, avec un indice de masse corporelle médian de 27,4 kg/m². Les acouphènes étaient unilatéraux chez trois patients et alternants chez un. L'imagerie a révélé une déhiscence osseuse recouvrant un bulbe jugulaire dupliqué, ipsilatéral à un sinus occipital oblique dominant non sténosé, sans gradient de pression veineuse. La pose d'un stent (n = 5) a permis une résolution complète des acouphènes chez tous les patients, avec un suivi médian de 15 mois et aucune complication rapportée.
Conclusions : La duplication du bulbe jugulaire avec déhiscence, associée à un sinus occipital oblique dominant non sténosé, représente une cause méconnue d’acouphènes pulsatiles. Cette affection peut efficacement être traitée par stenting. L’identification du « signe du cœur en carte à jouer » à l’imagerie est essentielle pour un diagnostic et une prise en charge précis.
CE QUI EST DÉJÀ CONNU SUR CE SUJET
L’acouphène pulsatile veineux (APV) peut résulter d’un flux sanguin turbulent ou d’une déhiscence osseuse impliquant les sinus veineux, le plus souvent au niveau de la jonction transverse-sigmoïde. Cependant, le rôle du sinus occipital oblique dans l’APV a rarement été décrit, et la duplication du bulbe jugulaire avec une déhiscence associée reste une cause sous-reconnue.
CE QUE CETTE ÉTUDE APPORTE
Cette étude identifie une configuration anatomique distincte — la duplication du bulbe jugulaire avec déhiscence associée à un sinus occipital oblique dominant non sténotique — comme cause d’APV. Elle introduit un nouveau signe radiologique, le « signe du cœur de carte à jouer », et montre que la mise en place ciblée d’un stent veineux permet de résoudre efficacement les symptômes sans complications.
IMPACT POTENTIEL DE CETTE ÉTUDE SUR LA RECHERCHE, LA PRATIQUE OU LES POLITIQUES
La reconnaissance de cette anatomie veineuse rare et de sa signature radiologique pourrait améliorer la précision diagnostique de l’APV et orienter les cliniciens vers le stenting veineux mini-invasif comme traitement fiable et efficace. Elle soutient également l’intégration de l’imagerie haute résolution dans le bilan de l’APV pour détecter les lésions déhiscentes subtiles.

SYNTHÈSE
Cette étude de recherche investigue une cause rare et sous-diagnostiquée d'acouphène pulsatile veineux (APV): la duplication déhiscente du bulbe jugulaire associée à un sinus occipital oblique (SOO) dominant mais non sténosé. Les auteurs décrivent une nouvelle caractéristique radiologique, le "signe du cœur de carte à jouer" (PCHS), qui est cruciale pour le diagnostic. À travers une série de quatre patients, l'étude démontre l'efficacité du stenting endovasculaire comme traitement pour résoudre complètement les symptômes de l'APV. Les résultats suggèrent que la reconnaissance de cette anatomie veineuse atypique et de son signe d'imagerie pourrait améliorer la précision diagnostique et orienter vers des options de traitement minimalement invasives pour les patients souffrant d'APV. Le document souligne l'importance d'une imagerie haute résolution pour détecter ces lésions déhiscentes subtiles.
PERPLEXITY/IA
Causes des acouphènes pulsatiles
-
Causes vasculaires (les plus fréquentes)
-
Sténose (rétrécissement) d’un sinus veineux, notamment le sinus latéral (transverse ou sigmoïde)
-
Malformations vasculaires, telles que fistules artérioveineuses ou anévrismes
-
Turbulence ou modification du flux sanguin à proximité de l’oreille (rétrécissement, artères tortueuses, déhiscence osseuse)
-
Athérosclérose (dépôts de graisses, perte d’élasticité des vaisseaux sanguins)
-
Compression veineuse, généralement de la veine jugulaire interne
-
-
Causes mécaniques
-
Causes neurologiques
-
Autres causes rares
Moyens d’identification (diagnostic)
-
Interrogatoire et examen clinique
-
Explorations radiologiques
-
Examens complémentaires
-
Mesure de la pression artérielle et intracrânienne (hypertension)
-
Ponction lombaire/suivi neurologique en cas de suspicion d’hypertension intracrânienne idiopathique
Commentaire
Il est essentiel de considérer une nouvelle étiologie des acouphènes. L'équipe du Pr Houdart a dépoussiéré et actualisé le WEB carotidien de manière remarquable , maintenant c'est encore autre chose, passionnant !
Bravo !
Copyright : Dr Jean-Pierre Laroche / 2025
-
